- 入れ歯が咬めなくて困っている!
- 入れ歯が動く!
- 話しにくい!
- 歯ぐきが痛い!
- 味わえない!
- 入れ歯の違和感が気になる。
- 入れ歯と歯ぐきの間に物が入る。
- 入れ歯が外れたり、落ちたりする。
- 金具が見えるのが恥ずかしい。
- 家族や友達、恋人に知られたくないので、できるだけ外したくない。
- 取り外す姿が恥ずかしい。
- 調整してもらってもすぐ外れる。
- 何回入れ歯を作ってもなじめない。
- 初めて入れ歯を入れるので心配。
- インプラントは怖い。
東京都在住 60代 女性
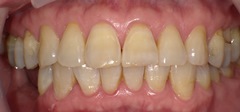
![]() 治 療 前 ![]() 治 療 前 ![]() 模 型 上 |
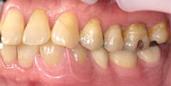
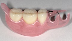
![]() 治 療 後 ![]() 治 療 後 ![]() AI デンチャー |
今から3年前、古い右下ブリッジの歯が痛く腫れてる・グラグラ・口臭が気になる為、来院され、薬で治す大西式歯周病治療の除菌で、短期間にも関わらず、とても綺麗な口腔内になりご本人も大満足でした。
ブリッジの歯は抜歯せずに使っていましたが、寝ている間の歯ぎしりが原因で割れてしまったので抜歯になり、その場所にAI デンチャーを入れました。
世の中には、スマイルデンチャー・ビューティデンチャー・スマートデンチャーなど金属を使わずに目立たない入れ歯が沢山ありますが、AIデンチャーの樹脂は薄くてしなやかなうえに中に金属を入れることで強度があります。
装着後も違和感があまりなく、見た目にも金属がないので、とても満足されていました。
東京都港区浜松町の歯周病専門・口臭専門治療・審美歯科・入れ歯・部分入れ歯の治療を得意とする
大西歯科モノレールビルクリニックのご予約は 03-3432-1084






